Dépistage de la trisomie 21 au cours de la grossesse : focus sur le DPNI

Dr. Sarah SNANOUDJ, Biologiste Médical chez Eurofins.

La trisomie 21, ou syndrome de Down, est une atypie chromosomique caractérisée par la présence d'un chromosome 21 supplémentaire. Elle peut entraîner des caractéristiques physiques particulières, des troubles cognitifs et des problèmes de santé associés. Le dépistage précoce au cours de la grossesse permet d’évaluer le risque que le fœtus soit atteint de cette anomalie. Le dépistage par le dosage dans le sang de marqueurs (marqueurs sériques) est systématiquement proposé. En fonction du résultat, une deuxième méthode peut être proposée, le Dépistage Prénatal Non Invasif (DPNI) : une prise de sang qui peut être réalisée à partir de la 10e SA.

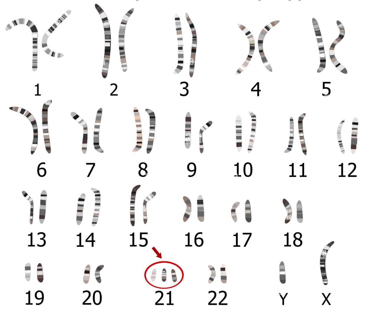
Schéma d’une analyse permettant de visualiser les chromosomes (caryotype). Il s’agit ici du caryotype d’un garçon (un chromosome X et un chromosome Y) atteint de trisomie 21 (47 chromosomes au lieu de 46, avec 3 chromosomes 21).
caryotype

1. Le dépistage par les marqueurs sériques

Qu'est-ce que c'est ? Il s'agit d'un test effectué au premier trimestre de la grossesse, entre 11 et 13 semaines + 6 jours d'aménorrhée. Il comprend une prise de sang, la mesure de l'épaisseur d'un pli de la nuque du fœtus (la clarté nucale) par échographie et l'âge maternel. La combinaison de ces éléments permet de déterminer un risque de trisomie 21 et de proposer une suite de prise en charge. Il faut en moyenne une dizaine de jours pour obtenir le résultat qui est communiqué sous forme de probabilité, ou risque :

Exemple : 1/1520 signifie que votre fœtus a 1 risque sur 1520 d'avoir une trisomie. Autrement dit, dans 1519 cas sur 1520, votre fœtus n'en est pas porteur.

2. Le dépistage prénatal non invasif (DPNI)

Qu'est-ce que c'est ? Le DPNI est une méthode récente qui analyse l’ADN fœtal circulant dans le sang maternel pour détecter la trisomie 21. Il est recommandé lorsque le risque de trisomie 21 est intermédiaire (entre 1 risque sur 51 et 1 risque sur 1000) selon le test par marqueurs sériques. Il est alors pris en charge par la sécurité sociale. Il peut être réalisé à partir de 10 semaines d’aménorrhée et il faut en moyenne une quinzaine de jours pour obtenir le résultat.

probabilités

Comment ça fonctionne ?

   

 

1. Prélèvement sanguin : Une prise de sang est réalisée à partir de la 10ᵉ semaine d’aménorrhée. 

2. Extraction de l’ADN : Dans le sang, circulent de petits fragments d'ADN en dehors des cellules, provenant de la mère mais également du fœtus (du placenta plus précisément). On sépare le sang prélevé chez la mère en deux parties : les cellules du sang d'un côté, le liquide appelé plasma de l'autre. On va ensuite isoler l'ADN du plasma, correspondant à l’ADN libre circulant (ADNlc). On peut étudier spécifiquement l'ADN du fœtus car les fragments sont plus petits que ceux de la mère.

3. Analyse génomique :

  • Les fragments d’ADN sont lus et comparés à un ADN de référence afin de faire correspondre chaque fragment à un chromosome.
  • Si l’ADN provenant du chromosome 21 est présent en quantité anormalement élevée, cela signifie que le fœtus a une forte probabilité d’avoir une trisomie 21.

4. Interprétation des résultats :

  • Un test négatif signifie que le risque de trisomie 21 est très faible.
  • Un test positif doit être confirmé par un examen diagnostique invasif (amniocentèse).
dpni

Avantages :

  • Très fiable (taux de détection > 99 %)
  • Non invasif, donc sans risque de fausse couche
  • Permet de réduire le recours aux tests invasifs

Limites :

  • Ne remplace pas un diagnostic formel
  • Ne détecte pas toutes les anomalies chromosomiques
  • Dans de rares cas, le test ne donne pas de résultat : Le professionnel de santé qui vous suit vous indiquera quelles sont les différentes options dans votre situation
Une anomalie à l’échographie contre-indique le DPNI. Un test diagnostic invasif (amniocentèse) est alors indiqué.

Indications prises en charges par l’Assurance Maladie, en l’absence de signes à l’échographie :

  • Risque compris entre 1/1000 et 1/51, suite au test des marqueurs sériques maternels
  • Risque supérieur ou égal à 1/50 si la patiente refuse un geste invasif proposé d’emblée
  • Grossesse gémellaire
  • Antécédent de grossesse avec trisomie 21
  • Parent porteur d’une translocation robertsonienne impliquant le chromosome 21

Autres indications (non prises en charge par l’Assurance Maladie) :

  • Souhait parental
  • Dépistage primaire
  • Age maternel > 38 ans pour les patientes n’ayant pas pu bénéficier du dépistage par les marqueurs sériques
  • Couple dont un des parents est porteur d’une translocation robertsonienne impliquant le chromosome 13
  • Antécédent de grossesse avec aneuploïdie autre que la trisomie 21
  • Profil atypique des marqueurs sériques maternels
Ce qu’il faut retenir :

Le dépistage prénatal de la trisomie 21 associe plusieurs outils pour évaluer le risque d’anomalies chromosomiques. Les marqueurs sériques sont une première étape accessible à toutes les femmes enceintes, tandis que le DPNI offre une alternative fiable et non invasive pour les situations à risque. En cas de doute, un diagnostic confirmatoire par une technique invasive est nécessaire.

Dépistage Trisomie 21, les questions fréquentes

Derniers articles

VIH : le dépistage sans ordonnance élargi à toute la France

25/01/2022

Depuis janvier 2022, pour simplifier le réflexe du dépistage du VIH dans la population, les tests de dépistage VIH peuvent être réalisés en laboratoire et être remboursés SANS ordonnance.

La Thyroïde : cet organe mal connu mais primordial

23/05/2022

Lorsque le cerveau reçoit un stimulus lui indiquant qu’il faut produire des hormones, l’hypothalamus envoie un signal à l’hypophyse, qui produit de la TSH, qui est envoyée à la Thyroïde afin de l’activer. Dès que la thyroïde reçoit cette information, elle transformera de l’iode en hormones thyroïdiennes. Lors d’un dysfonctionnement thyroïdien, on observera des troubles de la synthèse hormonale.

La maladie de Lyme, qu'est-ce-que c'est ?

27/06/2022

Tout savoir sur la maladie de Borréliose de Lyme : signes cliniques, traitement, test de dépistage par prise de sang, prévention... La maladie de Lyme, ou Borréliose de Lyme, est une zoonose fréquente transmissible par les tiques (Ixodes Ricinus). Lors de leur passage progressif sur des animaux sauvages, les tiques peuvent se contaminer par des maladies du sang, comme la borréliose de Lyme, puis infecter ensuite l’Homme.

Les hépatites, c’est quoi ?

01/08/2023

Les hépatites virales sont classées de A à E en fonction de la famille du virus en cause. Leur principal point commun est leur capacité à infecter les cellules du foie et à s'y multiplier. Face à cette infection, le système immunitaire de l'hôte réagit, entraînant une destruction des cellules infectées et une inflammation (hépatite). Camille Lebreton, Biologiste Médical chez Eurofins.